|
现在大多数医院是根据症状、神经功能量表及神经影像学所见将患病个体诊断为“可能为阿尔茨海默病”;确切诊断有赖于脑组织的活检。这种方法很难被患者及家属接受,因此临床误诊率仍较高,尤其是早期诊断困难较大。目前有一些新的生物诊断试剂正在开发实验中。 下面介绍目前常用的方法: (一)临床诊断常结合临床表现及各阶段的特点及专门的痴呆量表测定,辅以必要的实验室检查如脑电图、头颅计算机断层扫描、核磁共振成像和正电子发射断层扫描、脑血流测定、血液生化检测、分子生物学实验室、病理检验等,进行临床诊断和鉴别诊断。 
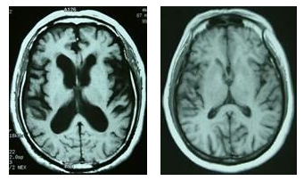
图1 左图为正常脑影像图,右图为阿尔茨海默病患者脑影像图 (二)病理诊断 目前,阿尔茨海默病诊断的金标准仍为病理检查。病理检查可见患者的大脑半球常呈对称性萎缩,脑沟变深,脑回变窄,侧脑室扩大。在对阿尔茨海默病患者的细胞学特殊检查中,除了可见老年斑和神经原纤维缠结外,还有神经元减少,神经轴索和突触的异常,星形细胞和小胶质细胞的反应以及脑血管的改变等等。 
图2 左图为正常脑,右图为阿尔茨海默病患者脑 (三)画钟测验(clock drawing test,CDT) 画钟测验常用于痴呆的筛查。 在试验时医生常请阿尔茨海默病患者画出一个显示时间点的钟,并描绘出正确的时间点,如2点45分。但随着病情的进展,患者越来越不能正确地画出时间和钟表的形状,所画的图与正确的图相差得越来越大,最终连钟的图形都无法完成。医生根据对患者历次检查的记录的比较,可以判断患者的病情。 画钟测验从正常人中检出阿尔茨海默病患者的敏感度为86.0%,特异性为96.0%,在临床实践中简单易行。 
见图,让老年性痴呆患者画出显示2点45分的钟,随着痴呆的进展所画的图与正确图相差越来越大
|